affirmer que sa main gauche paralysée n’est pas la sienne mais celle d’une autre personne

| 3,924


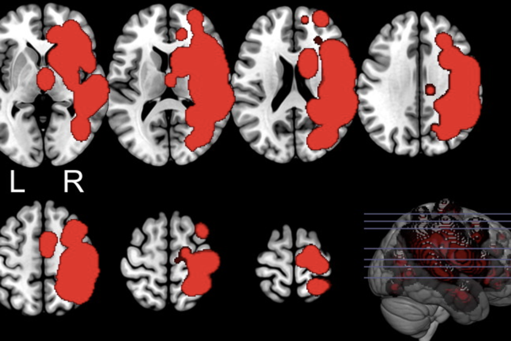
Angio-scanner : coupes étagées montrant (en rouge) les lésions de l’hémisphère cérébral droit. L : gauche.
R : droit.

C’est l’histoire d’un homme de 76 ans, droitier, victime d’un accident vasculaire cérébral (AVC) provoqué par un caillot ayant obstrué une artère, privant ainsi une partie de son cerveau de sang et d’oxygène. Cet AVC dit ischémique a entraîné une large lésion qui touche à la fois la substance grise corticale (la fine couche externe, le cortex), la substance grise sous-corticale (plus en profondeur), ainsi que la substance blanche de l’hémisphère droit. Cette atteinte a laissé le patient hémiplégique du côté gauche et insensible de ce même côté : on parle alors d’hémianesthésie.

Contrairement à d’autres patients qui ne réalisent pas toujours l’étendue de leur handicap, il est pleinement conscient de sa paralysie. On dit alors qu’il ne présente pas d’anosognosie, c’est-à-dire qu’il ne nie pas son déficit moteur. Cependant, il montre une tendance à négliger la moitié gauche de l’espace qui l’entoure, ce qu’on appelle une négligence spatiale. Concrètement, il n’accorde pas d’attention aux objets situés du côté paralysé, comme s’ils n’existaient pas. En revanche, il ne souffre pas de négligence personnelle : il est capable de localiser et de saisir sa main gauche avec sa main droite, ce qui témoigne d’une certaine conscience de son corps.

Discours confabulatoire

Ce qui intrigue surtout les neurologues, c’est son discours singulier, presque déroutant. Malgré sa pleine conscience de la paralysie, il affirme avec une conviction absolue que sa main gauche paralysée ne lui appartient pas. Pour lui, elle serait celle de sa mère, décédée quelques jours plus tôt, dans le même hôpital où il est hospitalisé actuellement. Cette conviction, répétée sans la moindre hésitation, donne à la scène à la fois un aspect étrange et profondément émouvant.

Voici un extrait de l’entretien réalisé vingt-deux jours après son AVC :

Examinateur : Où est votre main gauche ?
Patient : (après avoir regardé sa main gauche, puis l’avoir saisie avec la main droite) : C’est la main de ma mère. Voici ses doigts.
Examinateur : (après avoir placé la main gauche du patient dans l’axe médian, yeux fermés, puis lui demandant d’ouvrir les yeux) À qui est cette main ?
Patient : C’est la main de ma mère.
Examinateur : Où est votre mère ?
Patient (en pointant l’index droit derrière son épaule gauche) : Elle est là.
Examinateur : Elle est derrière vous ?
Patient : Oui, elle est morte.
Examinateur : Elle est morte ?
Patient : Oui. D’abord je ne le savais pas. Elle est morte il y a neuf jours.

Un peu plus tard, le patient est confortablement assis, les bras posés sur une table, paumes vers le bas. L’examinateur place un miroir à gauche, face à la main gauche paralysée.

Examinateur : (en désignant la main droite intacte du patient) À qui est cette main ?
Patient : C’est la mienne.
Examinateur : (montrant la main gauche dans le miroir) À qui est la main que vous voyez dans le miroir ?
Patient : C’est la mienne.
Examinateur : Est-ce la main gauche ou la droite ?
Patient : La gauche.
Examinateur : Pouvez-vous la bouger ?
Patient : Non, je ne peux pas. (il tente alors de la saisir avec la main droite).
Examinateur : Pouvez-vous bouger la main droite ?
Patient : (il bouge la main droite).

Somatoparaphrénie

Ce septuagénaire souffre d’un syndrome rare, la somatoparaphrénie (un terme issu du grec). Ici, paraphrénie désigne un état délirant – para pour l’opposition, phren ou phrenos pour l’esprit. On parle de somatoparaphrénie lorsque le délire concerne le corps : soma, somatos signifiant le corps.

La caractéristique centrale de la somatoparaphrénie est la perte du sentiment d’appartenance d’un membre. Autrement dit, la personne affirme que son bras paralysé n’est pas le sien. Elle peut aller jusqu’à l’attribuer à quelqu’un d’autre, inventant des explications parfois extravagantes : c’est ce qu’on appelle un discours confabulatoire. À la question « À qui appartient ce bras ? », le patient ne répond jamais « à moi » ou « je ne sais pas », mais affirme avec assurance qu’il s’agit du bras d’une autre personne. Ces propos ne traduisent pas une simple incompréhension ou un oubli, mais une construction délirante concernant une partie de son propre corps.

Le terme « somatoparaphrénie » fut créé en 1942 par le neurologue américain d’origine autrichienne Josef Gerstmann, qui décrivit ce trouble étrange et déroutant chez deux patients souffrant d’une lésion de l’hémisphère droit et qui présentaient une anosognosie, des troubles sensoriels et une altération du sentiment d’appartenance d’une moitié du corps.

Cette pathologie est caractérisée par un délire particulier, survenant le plus souvent après une lésion de l’hémisphère droit du cerveau, généralement un AVC ischémique ou une hémorragie cérébrale. Les patients développent alors des convictions délirantes concernant la partie paralysée de leur corps — le plus souvent le bras gauche lorsque la lésion affecte l’hémisphère droit.

La somatoparaphrénie s’accompagne presque toujours de trois troubles majeurs affectant le membre perçu comme « étranger » : une perte de proprioception (c’est-à-dire de la perception de la position du membre), une altération de la sensibilité tactile (hémianesthésie) et une impossibilité à le bouger (hémiplégie).

Dans de nombreux cas, ce trouble est également associé à une anosognosie, c’est-à-dire à l’incapacité de reconnaître sa propre paralysie. Il peut aussi s’accompagner d’une négligence spatiale unilatérale : le patient n’explore plus spontanément, ou ne perçoit plus, ce qui se trouve du côté gauche de son corps et de son environnement.

Conviction délirante que le membre paralysé n’est plus le sien

La somatoparaphrénie reflète une perte du sentiment d’appartenance corporelle. Le patient ne se contente pas de ne pas reconnaître un membre : il élabore un récit délirant pour expliquer la présence de ce « membre étranger », pouvant affirmer avec assurance qu’il s’agit du bras du médecin, d’un proche malade ou d’une personne décédée.

Ce discours confabulatoire forme le cœur du syndrome. La main est la partie du corps la plus fréquemment concernée dans ce délire. C’est ainsi qu’en 1983, un médecin suisse a publié un article intitulé « Non, je ne suis pas paralysée, c’est la main de mon mari » dans lequel il rapportait le cas d’une femme qui présentait une hémiplégie, une anosognosie pour le déficit moteur et la conviction délirante que sa main gauche appartenait à son époux.

Il est important de distinguer la somatoparaphrénie de l’hémiasomatognosie, cette dernière correspondant à la perte de connaissance ou de conscience d’une moitié du corps (hémicorps). La somatoparaphrénie est une forme plus extrême dans la mesure où le patient nie la possession du membre affecté, souvent en plus de ne pas reconnaître son déficit moteur. Ce trouble va donc au-delà de la simple ignorance ou insensibilité du membre : le patient développe un véritable délire affirmant que ce membre ne lui appartient pas. Ce symptôme traduit une altération profonde de la construction de l’identité corporelle.

En 2009, deux psychologues italiens ont répertorié tous les cas de somatoparaphrénie publiés dans la littérature médicale et identifié 56 patients (25 hommes et 31 femmes). Une somatoparaphrénie touchant le côté gauche du corps, conséquence d’une lésion de l’hémisphère droit, a été observée chez 91 % d’entre eux. Quelques cas, associés à des lésions de l’hémisphère gauche, concernent le côté droit.

Les témoignages varient : certains évoquent une impression diffuse d’étrangeté vis-à-vis du membre paralysé, bras ou jambe ; d’autres décrivent un membre « séparé », comme détaché du reste du corps. Mais dans plus des deux tiers des cas, le signe le plus saisissant est une dépossession totale : la conviction délirante que le membre paralysé n’est plus le leur, mais celui d’une autre personne.

Une hypothèse physiopathologique propose de relier la somatoparaphrénie à la négligence spatiale unilatérale. Elle postule que les lésions de l’hémisphère droit perturbent les réseaux visuels et spatiaux, ce qui empêche le patient de construire une représentation correcte de la position de son membre dans l’espace. Face à cette absence de repère fondamental, le cerveau cherche à combler le vide, parfois en inventant une explication délirante : « ce bras n’est pas le mien, c’est celui d’un autre ».

En 2012, une équipe italienne a publié dans la revue Cortex une étude qui a précisé les bases neuroanatomiques de la somatoparaphrénie. Jusqu’alors, les rares travaux disponibles étaient contradictoires. Pour dépasser ces incertitudes, des chercheurs en psychologie, neurologie et neuropsychologie de l’Université de Milan ont comparé deux groupes de patients avec lésion cérébrale droite. Onze patients présentaient une somatoparaphrénie et onze autres en étaient indemnes, mais tous souffraient des mêmes troubles associés (hémiplégie, négligence spatiale et anosognosie). Ce protocole permettait d’isoler ce qui relève spécifiquement de la somatoparaphrénie.

Les résultats ont montré qu’en cas de somatoparaphrénie, les lésions affectaient un réseau cérébral plus vaste et plus profond. Tous les patients présentaient des atteintes fronto-temporo-pariétales (régions associées à la paralysie, à la négligence spatiale et à l’anosognosie). Mais ceux présentant une somatoparaphrénie avaient de surcroît des lésions de la substance blanche de l’hémisphère droit (bras postérieur de la capsule interne, corona radiata, faisceau longitudinal supérieur) ainsi que des atteintes de la substance grise sous-corticale, à savoir des noyaux gris comme les ganglions de la base, le thalamus et l’amygdale.

Déconnexion fonctionnelle

On comprend dès lors que la somatoparaphrénie ne découle pas seulement d’atteintes corticales isolées, mais d’une perturbation globale de la connectivité entre des zones corticales qui construisent nos représentations conscientes du corps, et des structures sous-corticales dont le rôle est de traiter et d’intégrer les informations sensorielles.

Cette désorganisation empêche le cerveau d’intégrer correctement les signaux sensoriels provenant du membre paralysé, ce qui entraîne une rupture dans la construction d’une représentation globale du corps. Le patient peut voir son bras et sentir qu’il est attaché à son corps, mais l’attribuer néanmoins à quelqu’un d’autre.

Le cerveau gauche est narrateur ou interprète

Pour comprendre le délire observé chez les patients atteints de somatoparaphrénie, des chercheurs ont proposé en 1995 un modèle appelé celui du « narrateur » ou de « l’interprète ».

L’idée est la suivante : dans notre cerveau, l’hémisphère gauche, dominant pour le langage, joue le rôle d’un narrateur interne. C’est lui qui « raconte » notre expérience, qui met en mots ce que nous percevons, ce que nous faisons et ce que nous ressentons. Il s’efforce en permanence de relier ces informations pour construire une histoire cohérente, une explication donnant du sens à nos perceptions et actions.

En temps normal, ce narrateur bénéficie d’informations sensorielles transmises notamment par l’hémisphère droit, spécialisé dans le traitement corporel et spatial. Mais lorsqu’une lésion détruit ou déconnecte ces circuits du côté droit, le narrateur linguistique gauche se retrouve privé d’informations fiables. Il est confronté à un paradoxe : voir un bras, mais ne rien sentir, ou ne pas pouvoir le bouger. Pourtant, il tente malgré tout de fournir une explication. C’est à ce moment-là que la narration déraille, produisant un délire de non-appartenance corporelle. Refusant de rester sans réponse, le cerveau comble les lacunes avec des récits erronés, parfois extravagants, tels que : « ce bras appartient au docteur », « il appartient à quelqu’un d’autre », ou « il a été posé là par une autre personne ».

L’appartenance corporelle repose sur une intégration multisensorielle

Revenons au patient présenté au début de ce billet, dont le cas a été publié dans la revue Neuroscience en novembre 2021. Il a développé une somatoparaphrénie de la main gauche dans les suites immédiates d’une hémiplégie causée par un AVC de l’hémisphère droit. Rappelons qu’il attribue systématiquement sa main paralysée à quelqu’un d’autre lorsqu’il la regarde directement. En revanche, lorsque cette même main est vue dans un miroir, donc sous un angle extérieur, sa perception de possession peut temporairement se rétablir. Le patient devient alors nettement plus enclin à reconnaître que cette main lui appartient. Cette alternance, qui disparaît dès qu’il revoit sa main de façon directe, suggère que la conscience d’appartenance corporelle repose sur une intégration multisensorielle : le cerveau combine en permanence des signaux issus de différents sens pour construire une image cohérente et unifiée du corps.

Cette observation fascinante montre que, même lorsque certaines voies sensorielles sont déficientes, le cerveau sait recourir à d’autres sources d’information, comme la vision indirecte offerte par un miroir, pour reconstruire ce sentiment d’appartenance. L’activation du gyrus frontal inférieur droit semble jouer un rôle clé dans cette intégration multisensorielle.

Les chercheurs de l’université de Zurich ont aussi réalisé des expériences d’imagerie cérébrale par IRM fonctionnelle sur ce patient. Gianluca Saetta et ses collègues lui ont demandé d’imaginer différents mouvements : bouger sa main droite, bouger sa main gauche, ou imaginer que sa mère bougeait sa main gauche. Dans cette dernière condition, qui reflétait son délire, les chercheurs ont observé une activation localisée dans une sous-région du lobe frontal droit (pars opercularis du gyrus frontal inférieur droit, située sur la face latérale et inférieure du lobe frontal).

Dans une autre expérience d’IRM fonctionnelle réalisée au repos, concernant le patient et 21 volontaires sains, les chercheurs ont examiné comment le gyrus frontal inférieur droit et le réseau sensoriel de la main affectée communiquent avec le reste du cerveau. Ils ont observé que l’activité du gyrus frontal inférieur droit variait en sens inverse de celle de régions situées à gauche, liées au langage et à la perception de soi. De plus, le réseau sensoriel de la main paralysée était déconnecté de la zone du cortex qui intègre normalement les sensations corporelles. Cette désorganisation pourrait expliquer pourquoi le patient ne reconnaît pas sa main comme la sienne.

Selon les chercheurs, ces résultats constituent la première preuve directe en faveur du modèle du « narrateur gauche », selon lequel les confabulations délirantes de la somatoparaphrénie résulteraient d’une déconnexion fonctionnelle entre les régions sensorimotrices de l’hémisphère droit et les aires du langage de l’hémisphère gauche.

D’autres phénomènes peuvent parfois être associés à la somatoparaphrénie comme la présence de membres surnuméraires. En 2004, des neurologues français ont rapporté le cas d’un patient qui déclarait avoir l’impression d’avoir une troisième main au niveau du nez.

La somatoparaphrénie peut être temporaire

La somatoparaphrénie peut parfois être transitoire, mais elle peut aussi persister sur le long terme. En 2012, des chercheurs italiens ont suivi deux patients atteints de ce trouble : même après deux ans, la conviction délirante que leur membre paralysé ne leur appartenait pas restait inchangée, alors que d’autres troubles cognitifs ou perceptifs – tels que la négligence spatiale ou l’anosognosie – avaient, eux, évolué différemment. Ces observations suggèrent que la somatoparaphrénie peut se présenter comme un trouble chronique, lié spécifiquement au sentiment de possession du corps, indépendamment de l’évolution d’autres fonctions cognitives ou perceptives.

Dans de rares cas, des améliorations temporaires ont été obtenues par une stimulation particulière dite vestibulaire. La méthode la plus courante, la stimulation calorique vestibulaire, consiste à irriguer l’oreille gauche avec de l’eau froide. Cette manœuvre induit une sensation de rotation et déclenche un mouvement réflexe des yeux (nystagmus), tout en activant le cortex vestibulaire de l’hémisphère droit, une région impliquée dans l’équilibre, la perception spatiale et l’intégration corporelle. Pendant cette stimulation, l’activité de l’hémisphère droit est temporairement renforcée, compensant en partie la déconnexion fonctionnelle des réseaux qui traitent la perception du corps et de l’espace. Le patient retrouve alors, pour une période limitée, le sentiment d’appartenance à son membre paralysé. Tant que perdure cette réponse réflexe, la négligence spatiale, l’anosognosie et la somatoparaphrénie peuvent disparaître… avant de réapparaître une fois que l’effet s’estompe.

Que retenir de la recherche sur ce trouble neurologique aussi rare que fascinant ? D’abord, que la somatoparaphrénie n’est pas une simple curiosité clinique. À travers le délire de non-appartenance corporelle, elle révèle le rôle fondamental de l’intégration multisensorielle dans la construction de notre image du corps.

Ensuite, ces études mettent en lumière le fonctionnement du cerveau gauche lorsqu’il est privé d’informations fiables ou cohérentes : il confabule, produisant un discours qui brouille la frontière entre soi et autrui. Après une lésion de l’hémisphère droit, ce n’est donc pas seulement la perception du monde extérieur qui est altérée, mais aussi celle de sa propre identité corporelle.

Un aspect particulièrement poignant de ce cas rapporté par les chercheurs suisses mérite enfin d’être souligné : la main paralysée du patient était associée à sa mère, récemment décédée et qui avait séjourné dans le même hôpital. Contrairement à certains patients atteints du syndrome de la main étrangère, qui attribuent leur membre à un être malveillant ou menaçant, ce patient reliait sa main à une personne profondément aimée. Cette présence imaginaire lui apportait sans doute un réconfort, ce qui explique en partie son humeur calme et souvent enjouée.

Pour en savoir plus :

Crucianelli L, Reader AT, Ehrsson HH. Subcortical contributions to the sense of body ownership. Brain. 2024 Feb 1 ; 147 (2) : 390-405. doi : 10.1093/brain/awad359

Saetta G, Michels L, Brugger P. Where in the Brain is « the Other’s » Hand ? Mapping Dysfunctional Neural Networks in Somatoparaphrenia. Neuroscience. 2021 Nov 10 ; 476 : 21-33. doi : 10.1016/j.neuroscience.2021.09.007

Romano D, Maravita A. The dynamic nature of the sense of ownership after brain injury. Clues from asomatognosia and somatoparaphrenia. Neuropsychologia. 2019 Sep ; 132 : 107119. doi :
10.1016/j.neuropsychologia.2019.107119

Feinberg TE, Venneri A. Somatoparaphrenia : evolving theories and concepts. Cortex. 2014 Dec ; 61 : 74-80. doi : 10.1016/j.cortex.2014.07.004

Invernizzi P, Gandola M, Romano D, et al. What is mine ? Behavioral and anatomical dissociations between somatoparaphrenia and anosognosia for hemiplegia. Behav Neurol. 2013 ; 26 (1-2) : 139-50. doi : 10.3233/BEN-2012-110226

Gandola M, Invernizzi P, Sedda A, et al. An anatomical account of somatoparaphrenia. Cortex. 2012 Oct ; 48 (9) : 1165-78. doi : 10.1016/j.cortex.2011.06.012

Fotopoulou A, Jenkinson PM, Tsakiris M, et al. Mirror-view reverses somatoparaphrenia : dissociation between first- and third-person perspectives on body ownership. Neuropsychologia. 2011 Dec ; 49 (14) : 3946-55. doi : 10.1016/j.neuropsychologia.2011.10.011

Ronchi R, Vallar G. Somatoparaphrénie après lésion droite. Rev Neuropsyc. 2010 ; 2 (3) : 225-30.

Vallar G, Ronchi R. Somatoparaphrenia : a body delusion. A review of the neuropsychological literature. Exp Brain Res. 2009 Jan ; 192 (3) : 533-51. doi : 10.1007/s00221-008-1562-y

Rode G, Charles N, Perenin MT, et al. Partial remission of hemiplegia and somatoparaphrenia through vestibular stimulation in a case of unilateral neglect. Cortex. 1992 Jun ; 28 (2) : 203-8. doi : 10.1016/s0010-9452 (13) 80048-2

Bisiach E, Rusconi ML, Vallar G. Remission of somatoparaphrenic delusion through vestibular stimulation. Neuropsychologia. 1991 ; 29 (10) : 1029-31. doi : 10.1016/0028-3932 (91) 90066-h

Assal G. Non, je ne suis pas paralysée, c’est la main de mon mari. Schweiz Arch Neurol Psychiatr. 1983 ; 133 : 151-7.



Source link